矯正治療にお悩みの方へ
「以前矯正をしたのに、また歯並びが悪くなってしまった…」
「歯並びを治したいけれど、なるべく費用を抑えたい…」
「見た目を改善して、自信を持てる笑顔になりたい!」
これらのお悩みは、多くの患者様が抱える問題です。特に矯正治療は、時間と費用がかかるため、一度諦めてしまったり、不安を抱えたまま治療を進められないケースも少なくありません。
しかし、矯正治療は進化を続けており、セカンドオピニオンを活用することで、より良い治療法や新たな可能性が見つかるかもしれません。落合歯科医院では、豊富な経験と最新の技術を活用し、患者様一人ひとりのお悩みに寄り添った解決策をご提案しています。
矯正治療で再び歯並びが悪くなる理由
「せっかく矯正をしたのに、また歯並びが崩れてしまった」というご相談は非常に多く、その原因としては「後戻り」と呼ばれる現象が挙げられます。これは、歯並びが元の位置に戻ろうとする自然な力によるものです。後戻りの主な原因は以下の通りです。
矯正治療後は、歯並びを安定させるために保定装置を一定期間使用する必要があります。しかし、使用を中断したり、正しい装着が行われていないと、歯が徐々に元の位置に戻ることがあります。
歯周病が進行すると歯を支える骨が弱くなり、歯が動きやすくなります。また、加齢による自然な歯列の変化も影響するため、長期的なケアが必要です。
無意識に行う噛み癖や、舌が歯に押し付けられる癖がある場合、歯並びが再び崩れる原因となることがあります。
落合歯科医院では、これらの原因を詳細に分析し、再矯正が必要な場合には最適な治療計画を立てます。また、後戻りを防ぐための保定計画や生活習慣のアドバイスも行っています。
費用を抑えた矯正治療も可能です
「矯正治療を受けたいけれど、高額な費用がかかるのでは…」と不安に思われる方もいらっしゃいます。矯正治療には確かに費用がかかりますが、落合歯科医院では患者様のご予算や希望に合わせた治療プランを提案しています。
透明なマウスピースを使用する矯正治療は、目立たないため日常生活にも取り入れやすく、費用も比較的リーズナブルです。
矯正治療は一度に大きな費用が発生することが多いため、分割払いプランを用意しています。これにより、月々の支払い額を抑え、無理なく治療を進めることができます。
さらに、費用対効果を考慮し、必要最低限の治療で最大の効果を得られるような計画を立てることも可能です。「費用面が心配」という方も、ぜひお気軽にご相談ください。
見た目の悩みを解決したい方へ
歯並びの乱れは見た目だけでなく、噛み合わせや健康にも影響を与えます。「自信を持って笑えない」「第一印象を良くしたい」といった見た目のお悩みを持つ方には、審美性と機能性を兼ね備えた治療をご提案します。
矯正治療で歯並びを整えるだけでなく、ホワイトニングや補綴治療を併用することで、全体的に美しい口元を実現します。
特に前歯の見た目が気になる方には、審美治療を含めたアプローチが効果的です。
治療中でも見た目を気にせず生活したい方には、透明なマウスピース矯正がおすすめです。これらの方法は、周囲に気付かれることなく治療を進めることができます。
笑顔に自信を持つことで、日常生活や人間関係にも良い影響を与えるでしょう。
セカンドオピニオンで納得の治療を
「もう治療は無理かもしれない」「他院では満足いく説明が得られなかった」と感じている方も、ぜひセカンドオピニオンを利用してみてください。新しい視点や選択肢が見つかる可能性があります。
他院で提案されなかった治療法や最新の技術が利用できるかもしれません。
現在の予算やスケジュールに合った治療プランを再提案します。
不安や疑問を解消し、納得した上で治療に進めます。
セカンドオピニオンは治療を無理に押し付けるものではありません。患者様の意思を尊重し、より良い選択をサポートするためのものです。
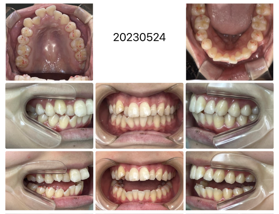
マウスピース矯正の症例


| 主訴 | 前歯の重なり、歯並びを治したい |
|---|---|
| 年齢 | 10代女性 |
| 治療期間 | 約1年8ヶ月 |
| 治療費 | ¥522,500(税込) |
| リスク・ 副作用 |
マウスピースを1日22時間以上装着しないといけない。 歯並びや骨格によっては、使用できない。 重度歯周病・インプラントの場合は使用できない。 |


| 主訴 | 上下の咬み合わせが良くないため改善を希望 |
|---|---|
| 年齢 | 20代女性 |
| 治療期間 | 約1年6ヶ月 |
| 治療費 | ¥522,500(税込) |
| リスク・ 副作用 |
マウスピースを1日22時間以上装着しないといけない。 歯並びや骨格によっては、使用できない。 重度歯周病・インプラントの場合は使用できない。 |


| 主訴 | 上下の咬み合わせが悪い |
|---|---|
| 年齢 | 20代女性 |
| 治療期間 | 約7ヶ月 |
| 治療費 | ¥522,500(税込) |
| リスク・ 副作用 |
マウスピースを1日22時間以上装着しないといけない。 歯並びや骨格によっては、使用できない。 重度歯周病・インプラントの場合は使用できない。 |


| 主訴 | 前歯の歯並びの改善を希望 |
|---|---|
| 年齢 | 20代女性 |
| 治療期間 | 約9ヶ月 |
| 治療費 | ¥522,500(税込) |
| リスク・ 副作用 |
マウスピースを1日22時間以上装着しないといけない。 歯並びや骨格によっては、使用できない。 重度歯周病・インプラントの場合は使用できない。 |


| 主訴 | 上下の咬み合わせが悪い、歯並びを治したい |
|---|---|
| 年齢 | 20代女性 |
| 治療期間 | 約4ヶ月 |
| 治療費 | ¥522,500(税込) |
| リスク・ 副作用 |
マウスピースを1日22時間以上装着しないといけない。 歯並びや骨格によっては、使用できない。 重度歯周病・インプラントの場合は使用できない。 |


| 主訴 | 下顎の歯並びの改善を希望 |
|---|---|
| 年齢 | 20代女性 |
| 治療期間 | 約4ヶ月 |
| 治療費 | ¥522,500(税込) |
| リスク・ 副作用 |
マウスピースを1日22時間以上装着しないといけない。 歯並びや骨格によっては、使用できない。 重度歯周病・インプラントの場合は使用できない。 |


| 主訴 | 上顎の八重歯を治したい |
|---|---|
| 年齢 | 20代女性 |
| 治療期間 | 約7ヶ月 |
| 治療費 | ¥522,500(税込) |
| リスク・ 副作用 |
マウスピースを1日22時間以上装着しないといけない。 歯並びや骨格によっては、使用できない。 重度歯周病・インプラントの場合は使用できない。 |


| 主訴 | 八重歯、上下の咬み合わせの改善を希望 |
|---|---|
| 年齢 | 20代男性 |
| 治療期間 | 約7ヶ月 |
| 治療費 | ¥522,500(税込) |
| リスク・ 副作用 |
マウスピースを1日22時間以上装着しないといけない。 歯並びや骨格によっては、使用できない。 重度歯周病・インプラントの場合は使用できない。 |


| 主訴 | 上顎の八重歯を治したい |
|---|---|
| 年齢 | 50代女性 |
| 治療期間 | 約8ヶ月 |
| 治療費 | ¥522,500(税込) |
| リスク・ 副作用 |
マウスピースを1日22時間以上装着しないといけない。 歯並びや骨格によっては、使用できない。 重度歯周病・インプラントの場合は使用できない。 |


| 主訴 | 上顎前突、歯並びの改善を希望 |
|---|---|
| 年齢 | 10代男性 |
| 治療期間 | 約9ヶ月 |
| 治療費 | ¥522,500(税込) |
| リスク・ 副作用 |
マウスピースを1日22時間以上装着しないといけない。 歯並びや骨格によっては、使用できない。 重度歯周病・インプラントの場合は使用できない。 |


| 主訴 | 下の歯のでこぼこが気になる |
|---|---|
| 年齢 | 20代 |
| 治療期間 | 約4ヶ月 |
| 治療費 | ¥522,500(税込) |
| リスク・ 副作用 |
インビザライン治療では、歯の痛みや違和感、発音の変化などが起こることがあります。詳しくは歯科医師にご相談ください。 |


| 主訴 | 上の前歯のねじれと前歯が出ているのが気になる |
|---|---|
| 年齢 | 20代 |
| 治療期間 | 約4ヶ月 |
| 治療費 | ¥522,500(税込) |
| リスク・ 副作用 |
インビザライン治療では、歯の痛みや違和感、発音の変化などが起こることがあります。詳しくは歯科医師にご相談ください。 |


| 主訴 | 上の前歯のねじれと下の歯の並びが気にまる |
|---|---|
| 年齢 | 20代 |
| 治療期間 | 約4ヶ月 |
| 治療費 | ¥522,500(税込) |
| リスク・ 副作用 |
インビザライン治療では、歯の痛みや違和感、発音の変化などが起こることがあります。詳しくは歯科医師にご相談ください。 |


| 主訴 | 上の歯の八重歯が気になる下の歯の凸凹が気になる |
|---|---|
| 年齢 | 20代 |
| 治療期間 | 約7ヶ月 |
| 治療費 | ¥522,500(税込) |
| リスク・ 副作用 |
インビザライン治療では、歯の痛みや違和感、発音の変化などが起こることがあります。詳しくは歯科医師にご相談ください。 |


| 主訴 | 上の歯のねじれと下の歯のでこぼこ |
|---|---|
| 年齢 | 30代 |
| 治療期間 | 約9ヶ月 |
| 治療費 | ¥522,500(税込) |
| リスク・ 副作用 |
インビザライン治療では、歯の痛みや違和感、発音の変化などが起こることがあります。詳しくは歯科医師にご相談ください。 |


| 主訴 | 上下の歯でこぼこと前歯の噛み合わせ |
|---|---|
| 年齢 | 30代 |
| 治療期間 | 約5ヶ月 |
| 治療費 | ¥522,500(税込) |
| リスク・ 副作用 |
インビザライン治療では、歯の痛みや違和感、発音の変化などが起こることがあります。詳しくは歯科医師にご相談ください。 |


| 主訴 | 上の歯のでこぼこ前歯の噛み合わせ |
|---|---|
| 年齢 | 40代 |
| 治療期間 | 約6ヶ月 |
| 治療費 | ¥522,500(税込) |
| リスク・ 副作用 |
インビザライン治療では、歯の痛みや違和感、発音の変化などが起こることがあります。詳しくは歯科医師にご相談ください。 |


| 主訴 | 前歯の噛み合わせ |
|---|---|
| 年齢 | 40代 |
| 治療期間 | 約4ヶ月 |
| 治療費 | ¥522,500(税込) |
| リスク・ 副作用 |
インビザライン治療では、歯の痛みや違和感、発音の変化などが起こることがあります。詳しくは歯科医師にご相談ください。 |


| 主訴 | 上下のでこぼこ |
|---|---|
| 年齢 | 40代 |
| 治療期間 | 約8ヶ月 |
| 治療費 | ¥522,500(税込) |
| リスク・ 副作用 |
インビザライン治療では、歯の痛みや違和感、発音の変化などが起こることがあります。詳しくは歯科医師にご相談ください。 |


| 主訴 | 上下のでこぼこ |
|---|---|
| 年齢 | 50代 |
| 治療期間 | 約8ヶ月 |
| 治療費 | ¥522,500(税込) |
| リスク・ 副作用 |
インビザライン治療では、歯の痛みや違和感、発音の変化などが起こることがあります。詳しくは歯科医師にご相談ください。 |


| 主訴 | 上の前歯のずれと下の歯のでこぼこ |
|---|---|
| 年齢 | 50代 |
| 治療期間 | 約3ヶ月 |
| 治療費 | ¥522,500(税込) |
| リスク・ 副作用 |
インビザライン治療では、歯の痛みや違和感、発音の変化などが起こることがあります。詳しくは歯科医師にご相談ください。 |
矯正相談の流れ
お電話またはオンラインフォームから簡単にご予約いただけます。
レントゲンや口腔内写真を基に、歯並びや噛み合わせの状態を詳しくチェックします。
生活スタイルやご希望に合わせた複数の治療プランを提示します。
納得いただけたら治療を開始します。無理な勧誘は一切ありませんので、安心してご相談ください。
まずはお気軽にご相談を
矯正治療に関するお悩みは、専門のカウンセラーに相談することで解決の糸口が見つかります。落合歯科医院では、患者様一人ひとりに寄り添いながら、最適な治療プランを提供します。
ご予約はお電話またはオンラインフォームで受け付けています。一歩を踏み出して、あなたの新しい笑顔を一緒に作り上げましょう。







































